Il arrive parfois qu’un acte décrit à la CCAM résulte d’une association de deux actes différents mais complémentaires ; cette association est alors décrite par un libellé de procédure dont il convient de porter uniquement son code, à l’exclusion de l’association des codes des actes isolés qui le composent.
Frédéric Fossati. La Madeleine
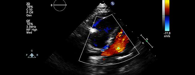
Le DZQJ008 est un acte d’échographie (code de regroupement : ADE) dont le libellé est : « échographie-doppler transthoracique et échographie-doppler par voie transœsophagienne du cœur et des vaisseaux intrathoraciques ».
C’est un acte remboursable qui n’est pas soumis à une demande d’entente préalable ; il est valorisé à 160,11 €…
